통증케어 시스템

  • 로그인

ONLINE CONSULTING

치과치료고민과 궁금하셨던 모든것을 남겨주세요. 항상 친절하고 신속하게 답변드리겠습니다.

번호 제목 답변
8 교정 비용 및 기타 문의 답변완료
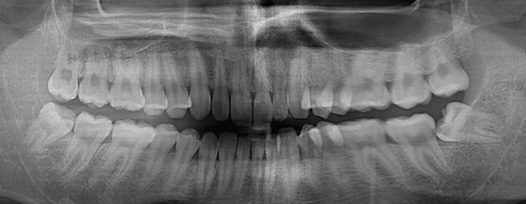
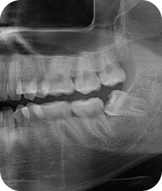
7 임플란트가격등 답변완료
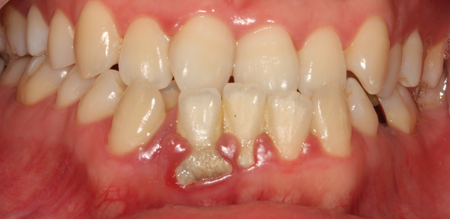
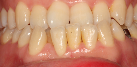
6 반대교합 답변완료
5 임플란트 견적 답변완료
4 아이교정 문의 답변완료
3 치아미백 치약 답변완료
2 임플란트 견적 답변완료
1 치아미맥가격 답변완료

KAKAOTALK CONSULTING

카카오톡 실시간 상담을 받으세요.
청담 네오플란트치과와 카톡 친구가 되시면 더욱 빠른 상담을 받으실 수 있습니다.

이름
관심부위
휴대폰
- -
내용

개인정보수집동의서비스 이용 및 이벤트 공지, 상담 신청을 위한 상담신청에 동의합니다.

카카오톡이미지

ROAD MAP

경기도 부천시 원미구 중동 1122-1번지
(구) 부천시 원미구 중동 1122-1번지 상록빌딩 3층

전화예약

1644.8828

  • 평 일오전 9:30 - 저녁 7시
  • 주 말오전 9:30 - 오후 2시
  • 일요일 공휴일 국경일은 휴진